脳神経外科
概要
日本脳神経外科学会の理念は「社会と共に歩み、脳と脊髄を守る脳神経外科」です。
本来、脳神経外科は脳・脊髄や末梢神経の病気に対し、手術などの外科的治療を行う診療科ですが、手術だけでなく、悪性脳腫瘍に対する化学療法や、定位放射線治療も行い、また頭痛・てんかん・痛みなどに対する薬物療法、認知症や頭部外傷後などの高次脳機能障害の診断やケア、更に脳ドック健診など幅広い領域に対応しています。脳神経外科医は、神経系統の病気の始め(診断)から終わり(長期ケア)まで一貫して担当し、また予防にも携わっているのです。
現在、当科の常勤医は二人の学会認定専門医で、主な脳・脊髄手術は行っておりませんが、外来診療を中心に、一人ひとりの患者様に最も適切な治療方針を提供しています。他院で治療を勧められた方でも、少しでも疑問や不安がある時は、お気軽に御来院下さい。
対象疾患
1)頭部外傷
脳は硬い頭蓋に覆われ、多くの頭部外傷はご心配ありませんが、受傷後の意識消失や受傷前後の記憶喪失(健忘)、けいれん、嘔気や嘔吐などの症状を伴う際は受診をおすすめします。
学校での受傷やスポーツ外傷、また交通事故など相手方がある場合は、後のトラブルを避けるために受診・検査を受けた方がいいでしょう。
心疾患や脳血管の病気で抗血栓薬(いわゆる血液さらさらのお薬)を服用している方は、軽微な外傷でも思わぬ大出血に進展する事があるので注意が必要です。
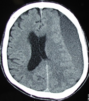
下の頭部CT画像は、歩きにくくなったという訴えで受診された高齢の男性で、左側(図の右側)の脳表に出血が貯まって脳が左から右に強く圧迫されています。頭部外傷から1~2か月経って発症する慢性硬膜下血腫という病気です。患者さんは1か月ほど前に転倒したとのことでした。
このように、受傷後2か月位までは後遺症に注意する必要があります。
慢性硬膜下血腫は、局所麻酔下の穿頭術で血腫を洗い流すと後遺症なく治癒しますので、心配な症状があったら頭部CT検査を受けることが大切です。

2)脳血管障害
脳血管障害は脳出血と脳梗塞に大別されます。以前は脳出血が多かったのですが、高血圧治療薬の進歩や欧米型食生活の普及により、現在では脳梗塞の患者さんが圧倒的多数です。血管の閉塞や破綻によって突然発症します。左右どちらかの手足に力が入らない、呂律が回りにくいなどの症状が急に出現した時は、直ちに受診する事が大切です。
脳梗塞
動脈硬化により血管が閉塞して起こる脳血栓症と、心臓や頸動脈などから流れてきた血栓で血管が詰まる脳塞栓症があります。脳塞栓症の主な原因として、心房細動が最も重要で、リスクの高い心房細動の患者さんは予防のため抗血栓薬を服用します。
脳梗塞の診断には脳MRI検査が重要で、発症早期から確実に梗塞の部位や大きさを特定することができます。
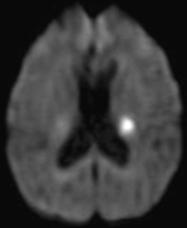
下図の頭部MRI画像は、突然の右半身脱力で発症した男性で、拡散強調画像という撮像法によって、左大脳深部の小さな脳梗塞が白い異常信号域として描出されています。

一過性脳虚血発作
半身麻痺など脳梗塞の症状が、発症してから1日以内に回復するもので、脳の血管に狭くなった部位がある事が原因です。脳梗塞の前兆ですので早期の治療が必要です。
下の画像の患者さんは、突然右手足に力が入らなくなったが少し経って治ったという症状で受診しました。脳内の動脈を描出するMRA検査で左中大脳動脈に狭窄部位(矢印)が見られます。狭くなった動脈の末梢に頭皮の動脈でバイパスを作る手術(浅側頭動脈―中大脳動脈吻合術)を行い、脳梗塞を発症する事なく元気に過ごされています。

クモ膜下出血
突然の激しい頭痛で発症します。脳動脈瘤の破裂によるものが多く、再破裂を防ぐため、開頭によるクリッピング手術やカテーテルによるコイル栓塞術など緊急治療が必要です。
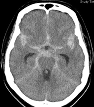
下図のCT画像のように、クモ膜下出血では頭蓋底のクモ膜下腔に白い出血が広がり、頭部CTで確実に診断できます。クモ膜下出血と診断されれば、直ちに脳MRAや脳血管撮影で脳動脈瘤の部位を特定し、開頭クリッピング手術やカテーテルによるコイル塞栓術(血管内手術)が必要です。
クモ膜下出血は、通常耐え難い頭痛で急激に発症しますので、「頭痛が朝からだんだん強くなってきた」「頭痛があったが仕事を済ませてから受診した」というような訴えの患者さんは、クモ膜下出血でないことが多いのですが、ご心配な時は念のためCT検査をおすすめします。

未破裂脳動脈瘤
脳ドックなどで、クモ膜下出血の原因になる脳動脈瘤が見つかる事があります。
下図は頭痛の検査で偶然見つかった右中大脳動脈の未破裂脳動脈瘤(矢印)の患者さんのMRA画像です。
多くの未破裂脳動脈瘤は小さなもので、破裂してクモ膜下出血を発症する確率は低く、予防的に治療する場合、開頭手術でも血管内手術でも一定の合併症リスクがありますので、慎重な対応が必要です。動脈瘤の大きさ・部位、患者さんの年齢、患者さん本人や家族の御希望など、いろいろな状況を総合的に考慮して判断しなくてはなりません。治療を勧められた場合は、別の医師のセカンドオピニオンを求める事も大切です。

3)脳腫瘍
脳腫瘍というと怖いイメージがありますが、実際には生命の危険のない良性腫瘍の方が多いのです。良性の腫瘍はゆっくりと成長するので、頭痛・嘔吐などの脳圧亢進症状以外にも、視野障害・めまい・ふらつき・認知障害・ホルモン異常など多様な症状で発症します。さまざまな症状から脳腫瘍の可能性を疑い、CT、MRIなどの画像で診断します。
下の脳MRI画像は、軽度のめまいで来院された患者さんに見つかった、後頭蓋窩の髄膜腫(錐体骨斜台髄膜腫)です。このように良性脳腫瘍はかなり大きくなってから軽度の症状で見つかることがあります。
脳腫瘍の治療は、手術の他にガンマナイフなど定位放射線治療、薬物療法などさまざまな選択肢があります。無月経と乳汁分泌の症状で発症するプロラクチン産生脳下垂体腺腫の治療は、薬物療法が主体です。
生命予後が良好な良性脳腫瘍では、直ちに治療を必要としないものもあります。手術を勧められた方もセカンドオピニオンを求めるといいでしょう。主治医の紹介状がなくても受診できますので、お問い合わせください。
悪性脳腫瘍については、手術摘出に加えて放射線療法・化学療法・免疫療法などいわゆる集学的治療が必要です。抗がん剤に対する感受性を調べるための遺伝子解析なども必要です。高度な治療に対応できる、がんセンター・大学病院など最も適切な関連施設をご紹介致します。

4)頭痛
最近ではパソコンやスマホの画面を長く見続ける事が原因の緊張型頭痛の患者さんが増えています。若い女性に多い片頭痛が重症な方は、適切な薬物治療が必要ですので受診をおすすめします。
多くの頭痛はあまりご心配ないものですが、時に脳腫瘍や脳出血などが潜んでいる事があります。下の脳MRI画像は、片頭痛で治療されていた患者さんに見つかった脳腫瘍です。頭痛が続いている方は一度精密検査をお受けになって下さい。

5)認知症
高齢化により認知症の患者さんが増加し、社会問題にもなっています。
加齢による物忘れと認知症による異常な物忘れを鑑別するためには、記銘・記憶障害や注意障害の評価などいわゆる高次脳機能検査が必要です。
当院では経験豊かな言語療法室スタッフが詳細な認知機能検査を担当し、認知症やその前段階の軽症認知障害(MCI)などの評価を行なっています。物忘れがご心配な方はご相談ください。
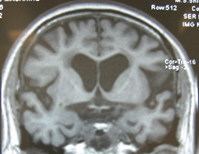
高次脳機能検査で認知障害が疑われた場合に、脳MRI検査など画像診断で原因を調べます。認知症の原因として最も多いアルツハイマー型認知症では、下の脳MRI画像のように記憶に関わる側頭葉内側の海馬の萎縮が見られます。初期のアルツハイマー型認知症では、海馬萎縮は軽度で、判定が難しいのですが、当院ではこれを定量的に診断するソフトウエア(VSRAD)を利用して、より確実な診断が可能になっています。
今のところ認知症を治す治療はなく、症状の進行を遅らせる薬を服用していただきます。早く治療を始めるほど、介護を必要とするまでの時間を長く維持できますので、早期の診断・治療が非常に重要です。

6)特発性正常圧水頭症
水頭症というと小児の患者さんを思い浮かべるかもしれませんが、この病気は成人、特に高齢者に多く見られます。髄液が脳室に貯まって水頭症になるのですが、脳圧は正常で頭痛・嘔気などは訴えず、認知障害・歩行障害・尿失禁の3つの症状が特徴です。
CTやMRI画像で脳室が拡大し、脳表、特に円蓋部(頭蓋の頂部)のクモ膜下腔は狭くなっているのが、脳萎縮との違いです。
髄液を腹腔に流すシャント手術によって症状が改善します。
「治る認知症」として有名な疾患で、的確な診断と早期の治療が重要です。

受診にあたって
- 外来受診をご希望の方は、事前に電話で予約頂くと待ち時間が短くなります。
- 急な病状などで当日のご受診もさしつかえありませんが、できるだけ来院前にご連絡ください。
- 他の患者さんのご病状などによって、予約時間通りに診療を開始できないことがありますので、ご了承ください。
- 薬剤を服用中の方は、「お薬手帳」など、服薬の内容がわかるものをお持ちください。
- 他院を受診中の方で、紹介状のない方もご診察できますが、これまでの症状の経過、診断名、治療の内容などを簡単にメモしたものをお持ちいただくと、ご診察がスムーズになります。